Wyzwania współczesnej radiologii
Technologiczne postępy w dziedzinie obrazowania medycznego sprawiły, że szpitale muszą radzić sobie z coraz większą ilością różnorodnych danych. W efekcie w placówkach medycznych popularne stało się korzystanie z wielu rodzajów kolorowych i monochromatycznych obrazów jednocześnie. Tę tendencję dodatkowo wspierają i napędzają nowoczesne wyświetlacze LCD, oferujące wysoki poziom jasności i wysoki współczynnik kontrastu.
Odtwarzanie monochromatycznych i kolorowych obrazów na jednym ekranie stanowi jednak poważne wyzwanie z technicznego punktu widzenia – a to dlatego, że monochromatyczne obrazy muszą być wyświetlane z zastosowaniem ustandaryzowanych wartości gamma, które są zupełnie inne dla obrazów kolorowych.
Norma DICOM (ang. Digital Imaging and Communications in Medicine – obrazowanie cyfrowe i wymiana obrazów w medycynie) część 14 podaje dokładne wytyczne dotyczące wartości gamma dla obrazów monochromatycznych, znane pod nazwą GSDF (Grayscale Standard Display Function). Wartości te, przyjęte przez wiele międzynarodowych instytucji takich jak AAPM, DIN, JIRA czy IEC, wykorzystuje się powszechnie do kontroli jakości monitora.
Tymczasem przy wyświetlaniu obrazów kolorowych często stosuje się wartości gamma znane jako Gamma 2.2, określone dla przestrzeni barwnej sRGB (rys. 1).*
Niektóre monitory medyczne korzystają z technologii umożliwiających przełączanie się między obrazami DICOM w skali szarości i kolorowymi obrazami Gamma 2.2, aby wyświetlać jedne i drugie z odpowiednią krzywą gamma (rys. 2). Takie rozwiązanie wymaga zazwyczaj ręcznego przestawiania trybu i nie pozwala na wyświetlanie monochromatycznych i kolorowych obrazów jednocześnie na wspólnym ekranie.
Technologia Hybrid Gamma PXL całkowicie rozwiązuje ten problem, ponieważ potrafi wyświetlać zarówno kolorowe, jak i monochromatyczne obrazy medyczne z odpowiednimi wartościami gamma. Użytkownik nie musi też niczego ustawiać ani wybierać ręcznie – Hybrid Gamma PXL automatycznie odróżnia obrazy kolorowe od monochromatycznych, badając je piksel po pikselu, a następnie wyświetla badania hybrydowo. Dzięki temu każdy widoczny na ekranie piksel ma optymalną skalę szarości.
Poniżej przedstawiamy najważniejsze cechy tej innowacyjnej technologii i omawiamy jej zgodność ze standardem DICOM część 14 w oparciu o badanie przeprowadzone niedawno w japońskim szpitalu Kumamoto Chuo.
* AAPM (American Association of Physicists in Medicine) oraz ICC (International Color Consortium) pracują nad ustandaryzowaniem kryteriów dotyczących wyświetlania kolorowych obrazów medycznych.


2. Zarys technologii Hybrid Gamma PXL

(Na niebiesko zaznaczono obrazy monochromatyczne, na czerwono obrazy kolorowe)
Hybrid Gamma PXL eliminuje to zjawisko, analizując wszystkie obrazy piksel po pikselu i przypisując im odpowiednie wartości krzywej gamma w czasie rzeczywistym. Oznacza to, że do wyświetlania pikseli monochromatycznych używane są wartości GSDF, a do wyświetlania pikseli kolorowych wartości Gamma 2.2.

W ramach funkcji Hybrid Gamma PXL dla kolorowych obrazów zawierających monochromatyczne piksele zostanie zastosowana specjalna technika mieszania usuwająca szumy.
3. Badanie
Celem badania przeprowadzonego przez doktora Kazuhiro Katahirę, radiologa ze szpitala Kumamoto Chuo, była ocena technologii Hybrid Gamma PXL pod kątem skuteczności i bezpieczeństwa. Analizie poddano trzy aspekty:
1) zgodność ze standardem DICOM część 14 przy odczycie badań monochromatycznych,
2) skuteczność diagnozy opartej na kolorowych badaniach z krzywą Gamma 2.2,
3) różnice w stosowaniu „mieszanej” krzywej opartej na Gamma 2.2 i prawdziwej krzywej Gamma 2.2.
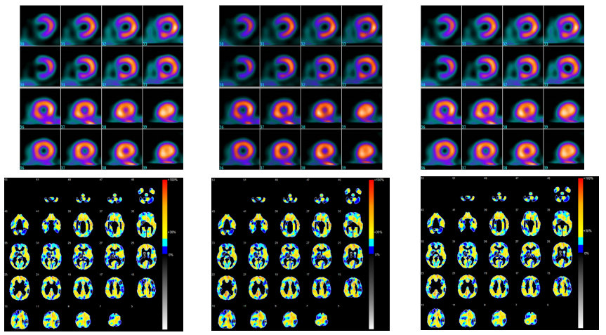
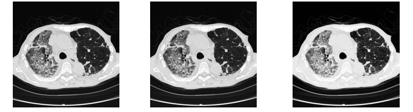
Tabela nr 1: Obrazy testowe
| Badania monochromatyczne | Liczba | Badany obszar |
| Rentgen | 3 | Klatka piersiowa, lędźwie, kości |
| Tomografia komputerowa | 3 | Głowa, klatka piersiowa, podbrzusze |
| Rezonans magnetyczny | 3 | Głowa, kręgosłup, kolana |
| Badania kolorowe | Liczba | Badany obszar |
| Tomografia komputerowa 3D | 3 | Głowa, podbrzusze, kręgosłup |
| Rezonans magnetyczny 3D | 1 | Serce |
| Fuzja rezonansu magnetycznego | 2 | Jelita, prostata |
| Obrazowanie RI | 50 | Mięsień sercowy, przepływ krwi w mózgu itp. |
| Obrazowanie ES | 20 | Tętnica środkowa mózgu |
| USG | 10 | Gruczoł mlekowy |
Konfiguracja
Ustawienia monitora:
| Ustawienie | Opis |
| (A) | Technologia Hybrid Gama PXL |
| (B) | Kalibracja pod kątem GSDF |
| (C) | Kalibracja pod kątem Gamma 2.2 |

Sposób oceny
Trzy opcje do wyboru:
- (A) > (B) lub (A) > (C) : (A) zapewnia lepszą diagnozę.
- (A) = (B) or (A) = (C) : Nie ma wyraźnej różnicy.
- (A) < (B) lub (A) < (C) : (B) lub (C) zapewnia lepszą diagnozę.
- Procedura testowa
1) Wyświetlenie obrazu testowego na urządzeniach (A) i (B). (rys. 5, po lewej)
2) Wybór jednej z dwóch opcji na podstawie porównania (A) i (B)
3) Wyświetlenie obrazu testowego na urządzeniach (A) i (C). (rys. 5, po prawej)
4) Wybór jednej z dwóch opcji na podstawie porównania (A) i (C)
Analiza
Wyliczenie łącznej sumy punktów dla poszczególnych grup:
- – Wszystkie badania
- – Badania monochromatyczne
- – Badania kolorowe
* Końcowe wyniki stanowią średnią punktów przyznanych przez obu badanych.
Rezultaty
Poniższe wykresy przedstawiają wyniki wszystkich badań, badań monochromatycznych i badań kolorowych.



Poniżej zestawiono oceniane obrazy dla porównania:



Poniżej podsumowujemy trzy badane aspekty technologii Hybrid Gamma PXL.
1) Zgodność ze standardem DICOM część 14 przy odczycie badań monochromatycznych
Rys. 8 pokazuje, że dla 8,5 z 9 monochromatycznych obrazów (ok. 94%) tryb Hybrid Gamma PXL stosujący DICOM GSDF został oceniony na równi z trybem DICOM GSDF, a w jednym przypadku tryb Hybrid Gamma PXL stosujący DICOM GSDF oceniono lepiej niż tryb DICOM GSDF. Nie zdarzyło się natomiast, by tryb DICOM GSDF został oceniony lepiej niż tryb Hybrid Gamma PXL.
Jak wyjaśniono wcześniej, tryb Hybrid Gamma PXL stosuje DICOM GSDF dla wszystkich pikseli monochromatycznych. Wyniki testu potwierdziły, że obrazy monochromatyczne oglądane w trybie Hybrid Gamma PXL wyświetlają się prawidłowo.
2) Skuteczność diagnozy opartej na kolorowych badaniach z krzywą Gamma 2.2
Rys. 10 pokazuje, że dla 31,5 z 86 kolorowych obrazów (ok. 37%) tryb Hybrid Gamma PXL stosujący „mieszaną” krzywą Gamma 2.2 został oceniony lepiej niż tryb krzywej gamma GSDF, a wśród ocenionych w ten sposób badań znalazły się wyłącznie obrazy ES lub RI, bez obrazów US. Nie zdarzyło się, by tryb DICOM GSDF został oceniony lepiej niż tryb Hybrid Gamma stosujący „mieszaną” krzywą Gamma 2.2.
3) Różnice w stosowaniu „mieszanej” krzywej opartej na Gamma 2.2 i prawdziwej krzywej Gamma 2.2
Rys. 11 pokazuje, że dla 66 z 86 kolorowych obrazów (ok. 77%) tryb Hybrid Gamma PXL stosujący „mieszaną” krzywą Gamma 2.2 został oceniony na równi z trybem Gamma 2.2. Z kolei dla 8,5 z 86 kolorowych obrazów (ok. 10%) tryb Hybrid Gamma PXL stosujący „mieszaną” krzywą Gamma 2.2 został oceniony lepiej niż tryb Gamma 2.2.
Stosowanie „mieszanej” krzywej Gamma 2.2 do wyświetlania kolorowych obrazów w żaden sposób nie pogarsza ich jakości.
5. Wnioski
Bezpieczeństwo
Jak widać w podpunkcie (1), tryb Hybrid Gamma PXL prawidłowo wyświetla obrazy monochromatyczne i działa tak samo, jak zwykły tryb GSDF. Oznacza to, że tryb Hybrid Gamma PXL jest zgodny ze standardem DICOM część 14 w zakresie wyświetlania obrazów monochromatycznych. Z podpunktu (3) wynika natomiast, że przy przeprowadzaniu diagnozy kolorowych badań nie ma różnicy między obrazami z krzywą opartą na Gamma 2.2 a tymi samym obrazami z prawdziwą krzywą Gamma 2.2.
Skuteczność
Podpunkt (2) wskazuje na dużą różnicę (37% spośród 86 kolorowych badań) w diagnozie pomiędzy trybem Hybrid Gamma PXL z „mieszaną” krzywą Gamma 2.2 a trybem z krzywą gamma GSDF. Wyniki sugerują, że analiza kolorowych obrazów jest bardziej efektywna w trybie Hybrid Gamma PXL niż w samym trybie GSDF.
Można zatem stwierdzić, że technologia Hybrid Gamma PXL umożliwia diagnozę na takim samym poziomie, jak DICOM GSDF, a jednocześnie poprawia diagnozę kolorowych obrazów, nie niosąc żadnych negatywnych skutków.
Literatura
- Digital Imaging and Communication in Medicine (DICOM) (2004), “Part14: Grayscale Standard Display Function”,
- IEC 61966-2-1:1999, Multimedia systems and equipment – Colour measurement and management – Part 2-1: Colour management – Default RGB colour space – sRGB
Uwaga: Wszystkie wykresy są uproszczone i mają charakter wyłącznie poglądowy.
