Monitory EIZO dla stomatologów

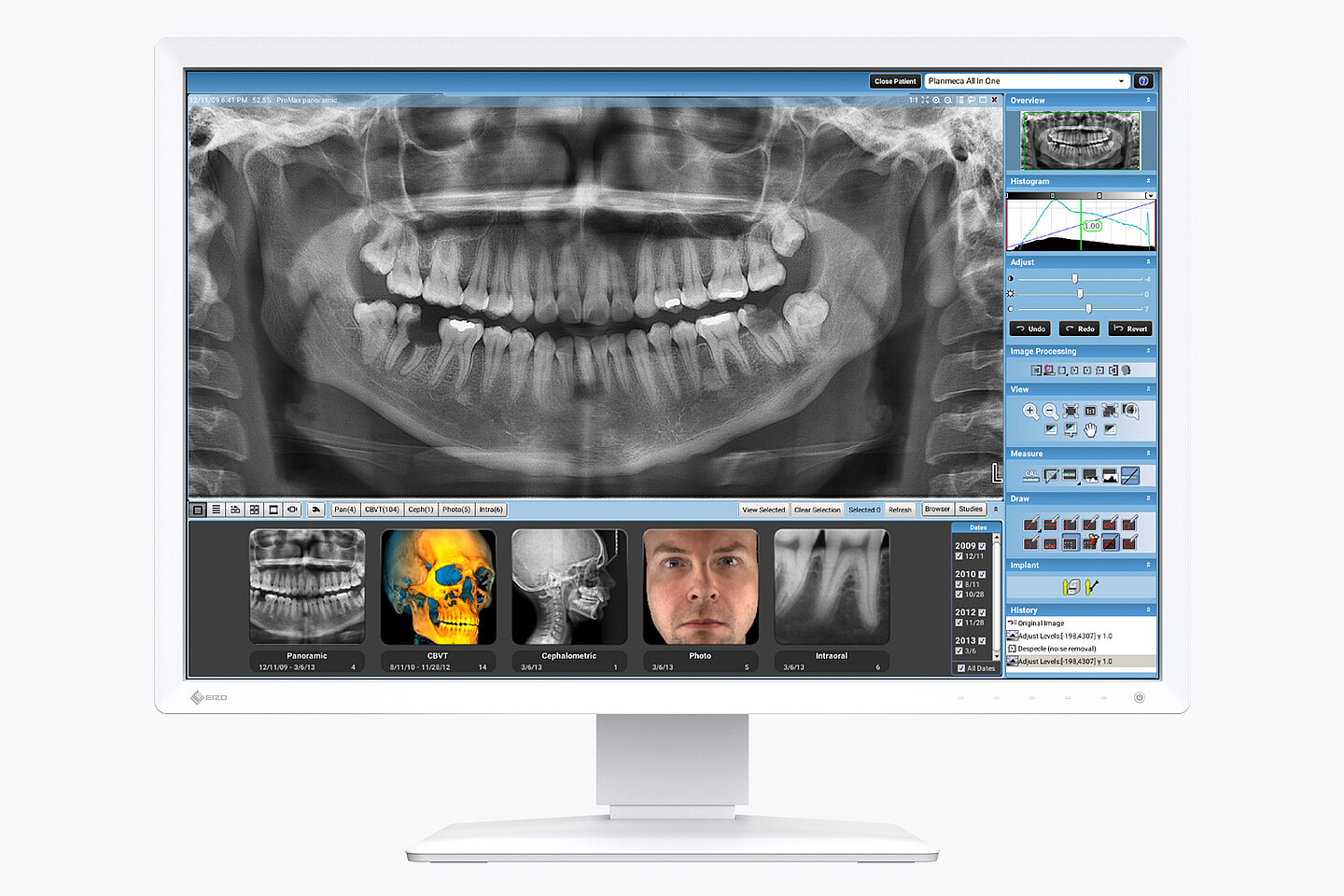
Badania stomatologiczne takie jak pantomogram czy tomografia wolumetryczna (DVT) generują obrazy o doskonałej ostrości. Jakość ich odwzorowania zależy jednak w dużej mierze od używanego monitora. Wraz z wejściem w życie standardu DIN 6868-157 wprowadzone zostały nowe wymagania dla urządzeń wyświetlających obrazy radiologiczne w dziedzinie diagnostyki stomatologicznej.

Wierne odwzorowanie obrazu w diagnostyce stomatologicznej

W zależności od klasy danego pomieszczenia standard DIN określa również minimalny poziom jasności. Diagnostykę stomatologiczną przeprowadza się w pomieszczeniach klasy 5 (diagnostycznych) oraz 6 (zabiegowych). Do obu typów pomieszczeń doskonale nadają się monitory z serii RadiForce. Zapewniają one wierną, optymalną reprodukcję obrazu w celach diagnostycznych, a w przeciwieństwie do tradycyjnych monitorów dają także gwarancję, że jasność ekranu nie spadnie poniżej wymaganego minimum.

Zalety monitorów EIZO do stomatologii

  • Cechy ekranu (przekątna, rozdzielczość, kolory lub monochromatyczność) dopasowane do potrzeb stomatologów
  • Doskonała jakość obrazu i stabilna jasność
  • Krzywa zgodna ze standardem DICOM
  • Czujnik obecności pomagający obniżyć pobór mocy
  • Dobra ergonomia pracy, m.in. dzięki powłoce antyodblaskowej
EIZO RadiForce MX243W-DT
Click outside to hide the comparison bar
Porównaj
Porównanie ×
Porównaj Continue shopping